切换至 "中华医学电子期刊资源库"

中华临床医师杂志(电子版) ›› 2022, Vol. 16 ›› Issue (07) : 701 -702. doi: 10.3877/cma.j.issn.1674-0785.2022.07.019

病例报告

感染诱发老年肠套叠一例
安萌1,(), 王丽1, 张蕾1, 林香春1   
  1. 1. 102206 北京大学国际医院
  • 收稿日期:2022-06-07 出版日期:2022-07-15
  • 通信作者: 安萌

Infection induced intussusception in the elderly: A case report

Meng An1(), Li Wang1, Lei Zhang1   

  • Received:2022-06-07 Published:2022-07-15
  • Corresponding author: Meng An
引用本文:

安萌, 王丽, 张蕾, 林香春. 感染诱发老年肠套叠一例[J/OL]. 中华临床医师杂志(电子版), 2022, 16(07): 701-702.

Meng An, Li Wang, Lei Zhang. Infection induced intussusception in the elderly: A case report[J/OL]. Chinese Journal of Clinicians(Electronic Edition), 2022, 16(07): 701-702.

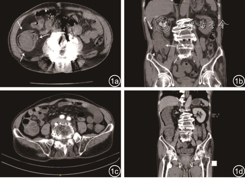
图1 患者腹盆部CT检查。图a、b:箭头所见回肠末端套入升结肠;图c、d治疗后复查已好转
图2 患者肠镜与病理(HE×10)检查。图a、b:可见盲肠隆起,覆黄色分泌物,无法冲掉,盲肠底部见不规则型浅溃疡及糜烂;图c:炎性渗出及坏死组织,其间可见较多杆菌,另见少量间质;图d:治疗后复查可见盲肠瘢痕
1
Ghaderi H, Jafarian A, Aminian A, et al. Clinical presentations, diagnosis and treatment of intussusception, a 20 years suevery [J]. Int J Surg, 2010, 8(4): 318-320.
2
Lee YW,Yang SI,Kim JM,et al. Clinical features and role of viral isolates from stool samples of intussuce ption in children [J]. Pediatr Gastroenrol Hepatol Nutr, 2013, 16(3):162-170.
3
Santosh S. Adult intussusception: A case series and review [J]. WJ GE, 2017, 9(5): 220-227.
4
胡良勇. 超声诊断小儿急性肠套叠的价值 [J]. 中国医学影像学杂志, 2014, 22(7): 511-514.
5
Takeuchi K, Tsuzuki Y, Ando T, Sekihara M, Hara T, Kori T, Kuwano H. The diagnosis and treatment of adult intussusception [J]. J Clin Gastroenterol, 2003, 36: 18-21
6
Begos DG, Sandor A, Modlin IM. The diagnosis and management of adult intussusception [J]. Am J Surg, 1997, 173: 88-94
7
Kim YH, Blake MA, Harisinghani MG,et al. Adult intestinal intussusception: CT appearances and identification of a causative lead point [J]. Radiographics, 2006, 26: 733-744
No related articles found!
阅读次数
全文


摘要


AI


AI小编
你好!我是《中华医学电子期刊资源库》AI小编,有什么可以帮您的吗?