切换至 "中华医学电子期刊资源库"

中华临床医师杂志(电子版) ›› 2025, Vol. 19 ›› Issue (12) : 951 -955. doi: 10.3877/cma.j.issn.1674-0785.2025.12.011

病例研究分析

危重颈深间隙感染四例报告并诊疗要点探讨
陈新宇1, 宗原1, 宋红毛1, 戴俊1, 怀德1, 杨惠明1,(), 徐敏2,()   
  1. 1 223022 江苏淮安,徐州医科大学附属淮安医院(江苏省淮安市第二人民医院)耳鼻咽喉头颈外科
    2 223022 江苏淮安,徐州医科大学附属淮安医院(江苏省淮安市第二人民医院)影像科
  • 收稿日期:2025-10-19 出版日期:2025-12-30
  • 通信作者: 杨惠明, 徐敏
  • 基金资助:
    2023年淮安市科技创新能力建设计划(HAP202304)

Severe deep cervical space infection: report of four case with discussion on key diagnostic and therapeutic considerations

Xinyu Chen, Yuan Zong, Hongmao Song   

  • Received:2025-10-19 Published:2025-12-30
引用本文:

陈新宇, 宗原, 宋红毛, 戴俊, 怀德, 杨惠明, 徐敏. 危重颈深间隙感染四例报告并诊疗要点探讨[J/OL]. 中华临床医师杂志(电子版), 2025, 19(12): 951-955.

Xinyu Chen, Yuan Zong, Hongmao Song. Severe deep cervical space infection: report of four case with discussion on key diagnostic and therapeutic considerations[J/OL]. Chinese Journal of Clinicians(Electronic Edition), 2025, 19(12): 951-955.

图1 病例一患者影像病理学资料。图1a~1b为颈深间隙感染患者术前颈部CT;图1c为术前颌下腺浅表肿物彩超;图1d术中快速石蜡病理切片;图1e~1f为术后1周颈部CT;图1g为术后3周颈部CT;图1h为术后颌下腺浅表彩超
图2 病例二患者影像病理学资料。图2a~2b为颈深间隙感染患者术前颈部CT;图2c为术前颌下腺彩超;图2d为术前腮腺彩超;图2e~2f为术后第11 d颈部CT;图2g为术后第16 d颈部CT;图2h为术后快速病理切片
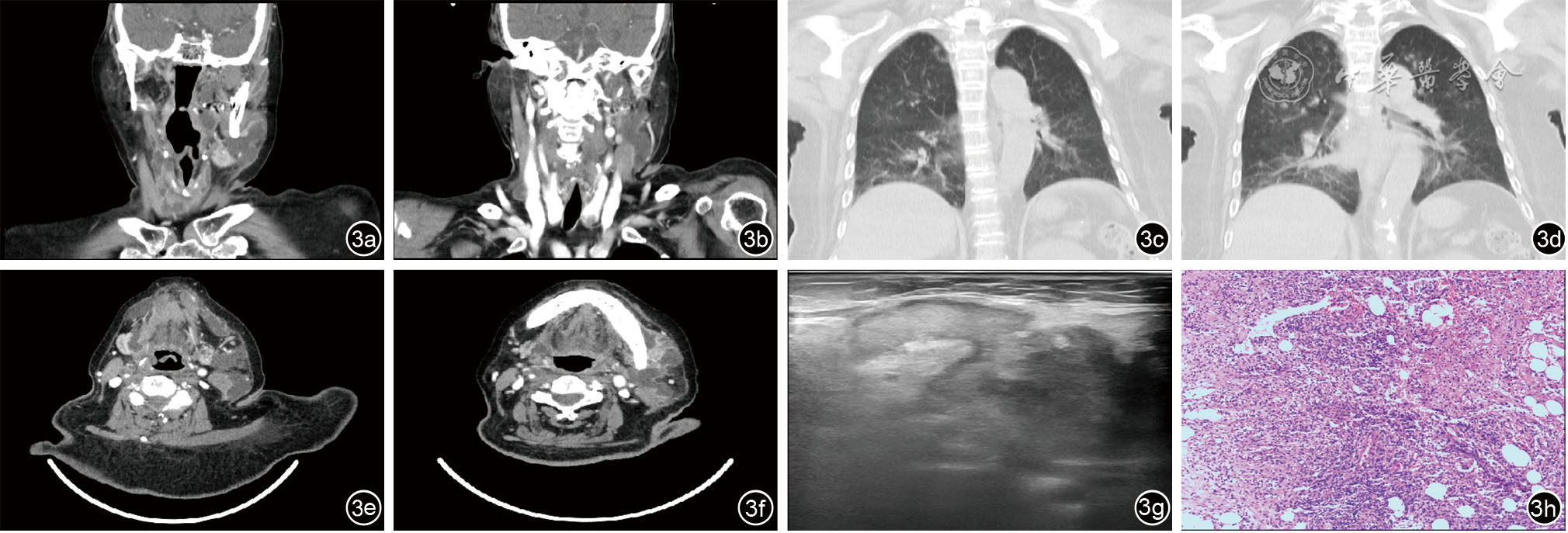
图3 病例三患者影像病理学资料。图3a~3b为颈深间隙感染患者术前颈部CT;图3c~3d为术前胸部CT;图3e~3f为术前颈部CT增强;图3g为术前颌下浅表肿物彩超;图3h为术后快速病理图像切片
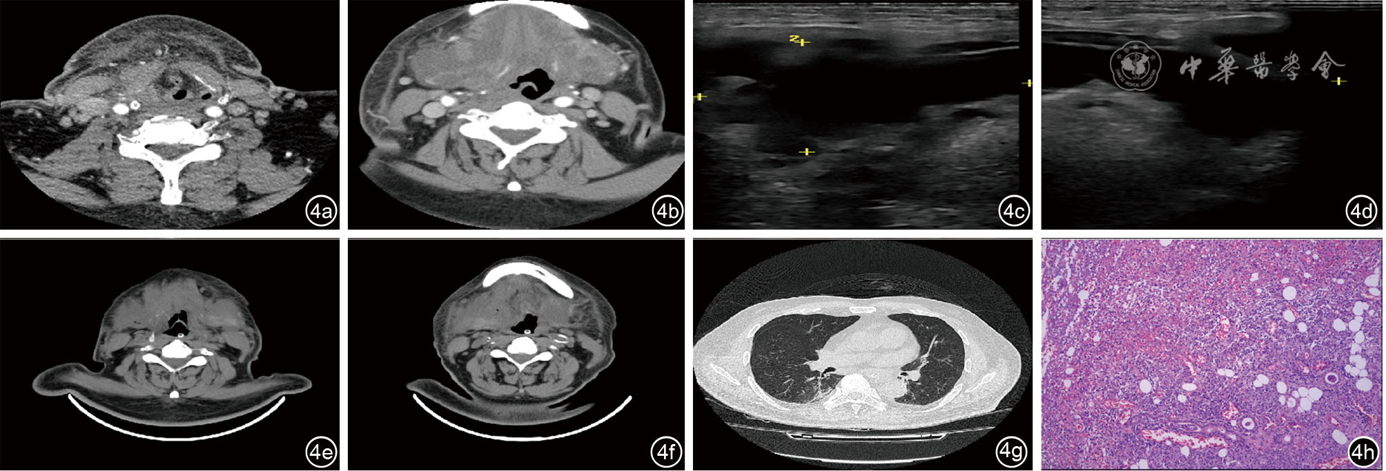
图4 病例四患者影像病理学资料。图4a~4b为颈深间隙感染患者术前颈部CT;图4c~4d为术前颌下腺彩超;图4e~4f为术后颈部CT;图4g为术后胸部CT;图4h为术后常规病理切片
表1 4例病例临床资料
序号 性别 年龄(岁) 诊断 术前检查 手术方式 病理 转归
1 男性 69 右扁桃体周围、右咽旁咽后、右颌下间隙、右颈深部、纵隔脓肿,肺病感染,菌血症,肺气肿 右侧腭扁桃体、颌下区低密度灶伴积气,前纵隔内积气。 经口右侧扁桃体等离子切除+内镜辅助右扁桃体周围脓肿及右咽旁咽后、右颌下、右颈深脓肿切开引流术 (右侧扁桃体)黏膜急慢性炎 好转
2 男性 80 右咽旁、右咬肌间隙,右侧腮腺浅深叶及间隙感染,高血压病2级(中危),2型糖尿病,冠状动脉性心脏病,双侧分泌性中耳炎,右面神经麻痹
右侧腮腺、颌下腺及肌肉肿胀,咽旁间隙渗出;右侧颌下多发肿大淋巴结 气管切开术+经颈、颌面右侧咽旁、右咬肌、右侧腮腺间隙感染切开排脓引流术+右侧咽旁间隙病变切除术 (右咽旁间隙)化脓性炎伴脓肿形成,局灶出血坏死,肉芽组织增生,可见淋巴结1枚示慢性炎。(右腮腺)慢性炎,周围纤维结缔组织内见中性粒细胞浸润,可见淋巴结2枚示慢性炎。 好转
3 女性 76 颈深部脓肿,扁桃体炎,咽溃疡,肺部感染,低白蛋白血症,高血压病3级(极高危),贫血,2型糖尿病性视网膜病变,完全性左束支传导阻滞,房性早搏,心功能不全,脑梗塞个人史,急性左心衰,呼吸衰竭 喉咽部前部皮下、咽旁间隙多发低密度灶
经颈咽旁间隙病损切除+双侧咽旁、颌下、颏下、气管旁间隙、甲状腺前脓肿切开排脓引流术 (颈深部)炎性肉芽组织。 未愈
4 男性 62 颌下腺脓肿,颌下间隙感染,急性呼吸衰竭,急性心力衰竭,吸入性肺炎,贫血,消化道出血,2期糖尿病肾病,慢性肾脏病5期,高血压3级(极高危),急性呼吸窘迫综合征(中度) 两侧颌下及刻下探及不规则液性暗区,范围约9.4 cm×3.7 cm,脓肿形成,双侧颈部淋巴结肿大。 经颈双侧颌下腺切除术+右侧咽旁,颌下,颏下,左侧颌下,颏下间隙脓肿切开术 (左侧颌下腺)急慢性炎,局灶化脓性炎,伴肉芽组织增生。(右侧颌下腺)急慢性炎,局灶化脓性炎,伴肉芽组织增生。 好转
1
中华耳鼻咽喉头颈外科杂志编辑委员会头颈外科组, 中华医学会耳鼻咽喉头颈外科学分会头颈外科学组. 颈深部脓肿诊断与治疗专家共识(2022) [J]. 中华耳鼻咽喉头颈外科杂志, 2022, 57(4): 405-412.
2
O'Brien KJ, Snapp KR, Dugan AJ, et al. Risk factors affecting length of stay in patients with deep neck space infection [J]. Laryngoscope, 2020, 130(9): 2133-2137.
3
Gao W, Lin Y, Yue H, et al. Bacteriological analysis based on disease severity and clinical characteristics in patients with deep neck space abscess [J]. BMC Infect Dis, 2022, 22(1): 280.
4
柴先奇, 邓敏鑫, 黄若葵. 颈深部多间隙脓肿66例临床分析 [J]. 黑龙江中医药, 2025, 54(1): 33-35.
5
Jayaramaiah SK, Vide DE, Vilas R. Deep nseck space infection among diabetic and non diabetic patients: a prospective cohort study [J]. J Clin Diagn Res, 2024, 18(5): MC1-MC6.
6
高文浩, 赵蕊, 李桂林. 颈深部感染患者临床特征及高危并发症的影响因素分析 [J]. 国际医药卫生导报, 2025, 31(6): 945-949.
7
Bandol G, Cobzeanu MD, Moscalu M, et al. Diagnostic approaches and management of deep neck space infections [J]. Rev Med Chir Soc Med Nat Iasi, 2024, 128(2): 238-249.
8
Rzepakowska A, Rytel A, Krawczyk P, et al. The factors contributing to efficiency in surgical management of purulent infections of deep neck spaces [J]. Ear Nose Throat J, 2021, 100(5): 354-359.
9
Algethamy HM, Alhazmi RN, Alghalayini FK, et al. Predictors of sepsis, intensive care unit admission, and death in patients hospitalized for complicated skin and soft tissue infections: Retrospective study at a large tertiary-care center [J]. SAGE Open Med, 2025, 13: 20503121251336069.
10
Lenka S, Dubey D, Rath S, et al. Clinical manifestation and microbial profiling of recurrent MDR microorganisms associated with head and neck infection- a retrospective study [J]. Healthc Low Resour Settings, 2023, 11(1): 11218.
11
McDonnough JA, Ladzekpo DA, Yi I, et al. Epidemiology and resource utilization of ludwig's angina ED visits in the United States 2006-2014 [J]. Laryngoscope, 2019, 129(9): 2041-2044.
12
Sada-Urmeneta Á, Agea-Martínez M, Monteserín-Martínez E, et al. Survival rate of odontogenic descending necrotizing mediastinitis. Our experience in last 5 years [J]. Med Oral Patol Oral Cir Bucal, 2023, 28(1): e65-e71.
13
陈康兵, 杨珺, 杨勇, 等. 159例颈深间隙感染回顾性分析 [J]. 中国耳鼻咽喉颅底外科杂志, 2025, 31(2): 60-63.
14
Isankova O, Safronovs J, Berke K, et al. Deep neck infections. Review of 111 cases [J]. Otolaryngol Pol, 2025, 79(1): 1-5.
15
刘皖, 赵婷婷, 魏明辉. 铜绿假单胞菌注射液术区注射治疗颈淋巴结清扫术后顽固性高流量乳糜漏二例及文献复习 [J/OL]. 中华临床医师杂志(电子版), 2024, 18(10): 926-930.
16
Chen SL, Chin SC, Wang YC, et al. Factors affecting patients with concurrent deep neck infection and cervical necrotizing fasciitis [J]. Diagnostics (Basel), 2022, 12(2): 443.
No related articles found!
阅读次数
全文


摘要


AI


AI小编
你好!我是《中华医学电子期刊资源库》AI小编,有什么可以帮您的吗?