切换至 "中华医学电子期刊资源库"

中华临床医师杂志(电子版) ›› 2025, Vol. 19 ›› Issue (12) : 956 -957. doi: 10.3877/cma.j.issn.1674-0785.2025.12.012

病例报告

高频超声联合超声造影诊断精母细胞瘤一例
胡高杰, 刘艳龙()   
  1. 010050 呼和浩特,内蒙古医科大学附属医院超声诊断科
  • 收稿日期:2025-10-23 出版日期:2025-12-30
  • 通信作者: 刘艳龙
  • 基金资助:
    内蒙古自治区教育厅高等学校科学研究项目(NJZY23147); 内蒙古医科大学面上项目(YKD2023MS015)

A case of spermatoblastoma diagnosed by high-frequency ultrasound combined with contrast-enhanced ultrasound

Gaojie Hu, Yanlong Liu()   

  • Received:2025-10-23 Published:2025-12-30
  • Corresponding author: Yanlong Liu
引用本文:

胡高杰, 刘艳龙. 高频超声联合超声造影诊断精母细胞瘤一例[J/OL]. 中华临床医师杂志(电子版), 2025, 19(12): 956-957.

Gaojie Hu, Yanlong Liu. A case of spermatoblastoma diagnosed by high-frequency ultrasound combined with contrast-enhanced ultrasound[J/OL]. Chinese Journal of Clinicians(Electronic Edition), 2025, 19(12): 956-957.

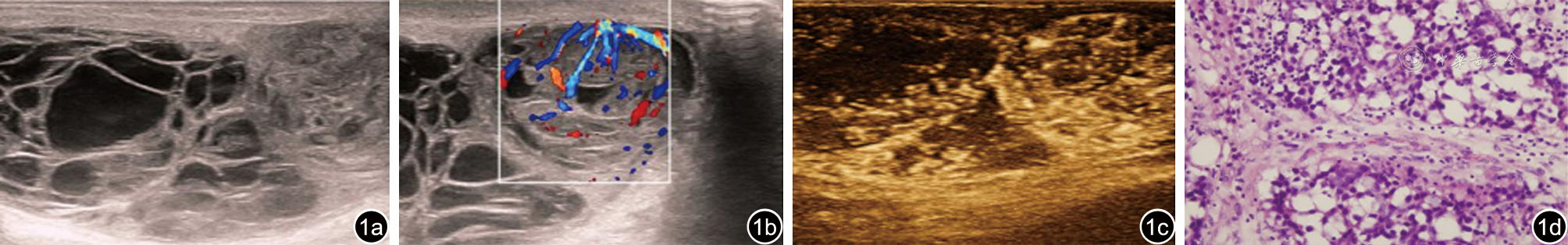
图1 睾丸精母细胞瘤二维及血流图像、超声造影图像、病理图片 图a为睾丸肿物二维图像,睾丸增大,内见囊实性肿物,上方以囊性为主,下方以实性为主;图b为彩色多普勒图像,肿物分隔及实性部分见丰富血流信号;图c为超声造影图像,肿物分隔及实性部分见网格样强化;图d为精母细胞瘤病理图片(HE,×400)
1
吕炳建, 程亮. 2016版WHO睾丸和阴茎肿瘤新分类解读 [J]. 中华病理学杂志, 2016, 45(8): 518-521.
2
Lombardi M, Valli M, Brisigotti M, et al. Spermatocytic seminoma: review of the literature and description of a new case of the anaplastic variant [J]. Int J Surg Pathol, 2011, 19(1): 5-10.
3
Carrière P, Baade P, Fritschi L. Population based incidence and age distribution of spermatocytic seminoma [J]. J Urol, 2007, 178(1): 125-128.
4
Mikuz G. Update on the pathology of testicular tumors [J]. Anal Quant Cytopathol Histpathol, 2015, 37(1): 75-85.
5
李子怡, 曾小科, 李莹, 等. 超声诊断睾丸胚胎性癌及其与精原细胞瘤鉴别的应用价值[J]. 中国超声医学杂志, 2023, 39(5): 586-588.
6
Horstman WG, Melson GL, Middleton WD, et al. Testicular tumors: findings with color doppler US [J]. Radiology, 1992, 185(3): 733-737.
7
Yu J, Jiang XH, Du LF, et al. Contrast-enhanced ultrasound as a valuable imaging modality for characterizing testicular lesions [J]. Asian J Androl, 2022, 24(2): 201-206.
8
Grogg JB, Schneider K, Bode PK, et al. A systematic review of treatment outcomes in localised and metastatic spermatocytic tumors of the testis [J]. J Cancer Res Clin Oncol, 2019, 145(12): 3037-3045.
No related articles found!
阅读次数
全文


摘要


AI


AI小编
你好!我是《中华医学电子期刊资源库》AI小编,有什么可以帮您的吗?