资料与方法
一、对象
二、仪器与方法
三、统计学分析
结果
一、患者基本资料
表1 药物性肝损伤患者治疗前后肝功能变化情况( |
| 时间 | AST | ALT | TBIL | DBIL |
|---|---|---|---|---|
| 治疗前 | 217.78±41.42 | 289.64±38.45 | 135.38±50.32 | 108.56±55.28 |
| 治疗后1个月 | 97.60±30.31a | 114.32±29.81a | 78.67±32.81a | 63.92±31.08a |
| 治疗后3个月 | 47.72±24.41ab | 53.61±23.40ab | 40.78±27.68ab | 29.70±17.80ab |
| F值 | 241.313 | 525.719 | 52.852 | 36.763 |
| P值 | <0.001 | <0.001 | <0.001 | <0.001 |
注:与治疗前比较,aP<0.05;与治疗后1个月比较,bP<0.05;AST为谷草转氨酶;ALT为谷丙转氨酶;TBIL为总胆红素;DBIL为直接胆红素 |
表2 急性病毒性肝炎患者治疗前后肝功能变化情况( |
| 时间 | AST | ALT | TBIL | DBIL |
|---|---|---|---|---|
| 治疗前 | 249.58±37.38 | 379.27±50.36 | 74.90±32.79 | 61.31±30.78 |
| 治疗后1个月 | 130.51±30.03a | 215.98±34.76a | 66.37±29.86 | 56.20±28.12 |
| 治疗后3个月 | 69.74±20.96ab | 92.36±21.23ab | 52.41±20.96a | 41.07±23.42ab |
| F值 | 366.735 | 592.419 | 6.429 | 5.814 |
| P值 | <0.001 | <0.001 | 0.002 | 0.004 |
注:与治疗前比较,aP<0.05;与治疗后1个月比较,bP<0.05;AST为谷草转氨酶;ALT为谷丙转氨酶;TBIL为总胆红素;DBIL为直接胆红素 |
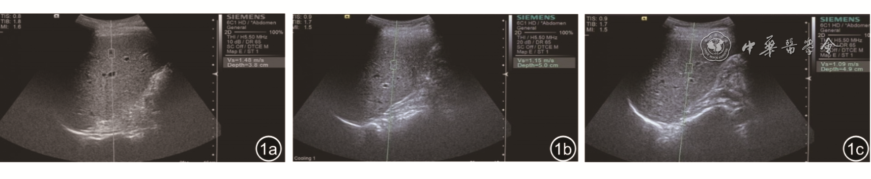
二、肝炎患者治疗前后VTQ值比较
表3 2组受试者治疗前后声触诊组织定量值比较(m/s, |
| 组别 | 例数 | 治疗前 | 治疗1个月 | 治疗3个月 | F值 | P值 |
|---|---|---|---|---|---|---|
| DILI组 | 34 | 1.74±0.18 | 1.14±0.23a | 1.06±0.40 a | 57.438 | 0.000 |
| VH组 | 40 | 1.70±0.41 | 1.59±0.16 | 1.12±0.23ab | 46.180 | 0.000 |
| t值 | 0.527 | 9.882 | 0.805 | |||
| P值 | 0.600 | <0.001 | 0.423 |
注:与治疗前比较,aP<0.05;与治疗后1个月比较,bP<0.05 |

