切换至 "中华医学电子期刊资源库"
图/表 详细信息
  • 超声联合X线摄影和MRI对肿块型和非肿块型乳腺病变的诊断价值
    赵欣, 李昊昌, 赵海玥, 房秀霞, 卫星彤
    中华临床医师杂志(电子版) . 2025, 19 (10): 758-766.
    摘要 ( 2 ) HTML ( 0 ) PDF ( 3439 ) ( 0 )
    目的

    分析肿块型(ML)和非肿块型(NML)乳腺病变的超声(US)、乳腺 X 线摄影(MG)和MRI的影像学特征,探讨US联合MG和MRI诊断ML和NML乳腺病变的价值。

    方法

    收集2021年5月至2025年5月内蒙古医科大学附属医院的231例女性患者,共244个乳腺病灶,均接受了US、MG和MRI检查。根据US和MRI特征将患者分为ML组和NML组,再按良恶性分亚组。以病理学结果为金标准,比较良恶性ML和良恶性NML乳腺病变的US、MG及MRI特征差异。通过分析敏感度、特异度、阳性预测值(PPV)、阴性预测值(NPV)和受试者工作特征(ROC)曲线下面积(AUC),评估US、US+MG、US+MRI、US+MG+MRI对ML组和NML组的诊断效能。

    结果

    244个乳腺病灶经病理证实,其中恶性病灶为163个,良性病灶为81个。与恶性ML病变比较,恶性NML病变在是否绝经、是否可触及,超声内部回声、方向、后方回声、血流信号分级,MRI纤维腺体含量、T2WI信号、ADC值,Ki-67表达等差异均有统计学意义(P<0.05)。US+MG+MRI对ML病变组的敏感度、特异度、PPV、NPV分别为94.8%、89.1%、94.5%、87.0%,其AUC大于US(0.947/0.778,P<0.05)。US+MG+MRI对NML病变组的敏感度、特异度、PPV、NPV分别为93.6%、84.6%、91.7%、88.0%,其AUC>US(0.940/0.712,P<0.05)。

    结论

    US、MG和MRI对ML和NML乳腺良恶性病变有重要的诊断价值,US、MG和MRI联合诊断可提高ML和NML乳腺良恶性病变的诊断效能。

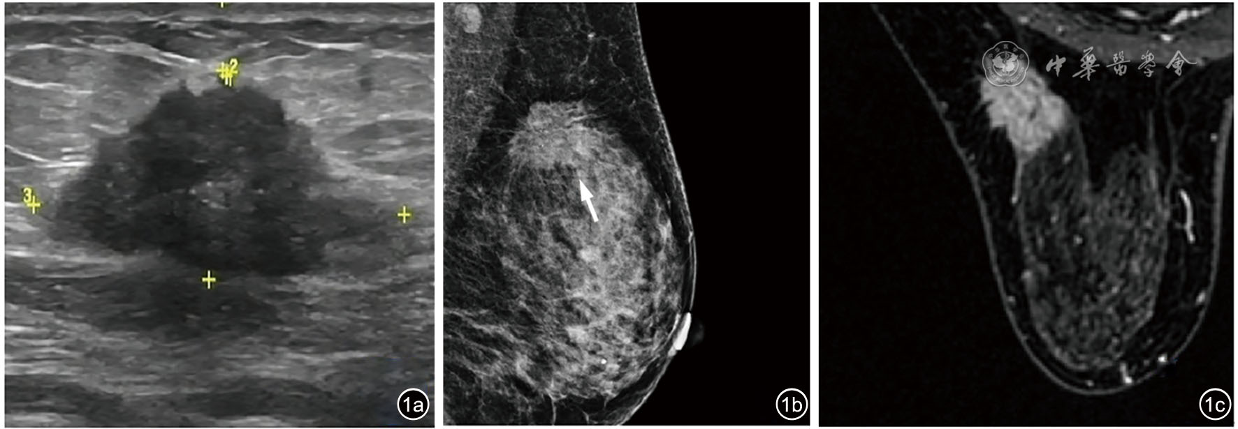
图1 肿块型乳腺病变不同影像学图像。女性,51岁,肿块型病变,病理结果为浸润性导管癌。图a为US提示左乳实性占位,BI-RADS 4C;图b为MG(MLO位)提示左乳外上占位,伴钙化(箭头),BI-RADS 4C;图c为MRI提示左乳外上象限占位,BI-RADS 4C 注:US为常规超声;BI-RADS为乳腺成像报告和数据系统;MG为乳腺X线摄影;MLO位为内外斜位;MRI为磁共振成像
本文的其它图/表

AI


AI小编
你好!我是《中华医学电子期刊资源库》AI小编,有什么可以帮您的吗?